Essentials for Standard Projections - CC and MLO Views
About this Program
This webinar will cover essentials in proper positioning for the CC and MLO view for any level mammographer. Some of us have never been properly taught in mammography or understood why our images “look” the way they do.
Understanding these basics will bridge the gap between easy and challenging patients. If you feel like your training was “see one, do one” this webinar is for you!
Educational Objectives
At the completion of this webinar, attendees will be able to:
- Understand proper positioning of the CC view
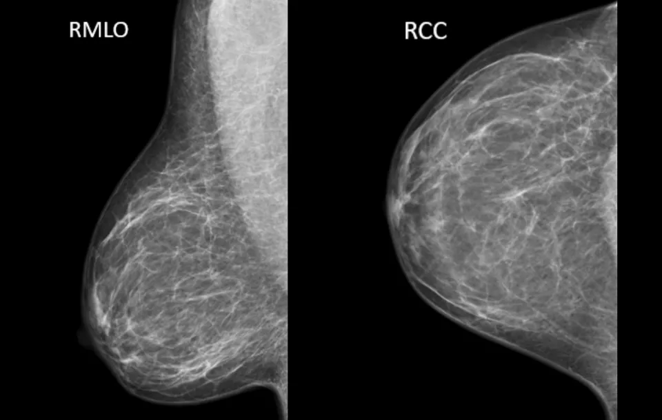
- Understand proper positioning of the MLO view
- Understand what breast tissue is visualized on the CC and MLO view
- Understand how to prevent artifacts on your image, such as, skin folds and air gaps
- Explain methods to identify what breast tissue is missing from your image and how to correct it
- Identify quality and sub-quality aspects of an image
Schedule
What this course will cover
- Importance of Positioning
- Optimize breast tissue
- Positioning challenges
- Mobility
- CC View
- Poor visualization
- Excessive exaggeration
- Skin folds
- CC view critique
- MLO View
- Proper demonstration of pectoral muscle
- Drooping tissue
- Proper demonstration of IMF
- Skin folds
- Compression and Proper Image Receptor Size
- Optimization
- Correct image receptor size
- Film Critique
- Drooping breast
- Muscle shape and length
- Nipple in profile
- Skin folds
- Summary
Audience
Who should attend?
This webinar is for those who have an interest in mammography.
Program Faculty
Meet your presenter(s)
Miranda Melton
RT(R)(M)
Miranda became registered with the ARRT as a Radiologic Technologist in 1998 and specialized in Mammography in 1999. She spent the first 8 years working her way up from staff technologist to lead technologist before accepting a Clinic Manager Role with Diagnostic Imaging Centers, P.A. in Lee’s Summit, Missouri in 2006. After 10 years in that role, Miranda took a leap of faith in 2017 and began working as an Independent Mammography Positioning Specialist and Educator. Most of her time was spent teaching for Medical Technology Management Institute (MTMI) on the Initial Mammography Training team as well as traveling the US to provide hands-on positioning workshops. Miranda also worked part-time as Corporate Supervisor in the Mammography Department at University Health, Kansas City, Mo where she collaborated with the Lead Interpreting Physician to ensure all breast imaging protocols, workflows, quality control, and quality assurance issues/concerns were addressed and managed per MQSA/ACR guidelines. In February of 2023, Miranda accepted the position of Director of Women’s Imaging Education at MTMI. In this role, Miranda oversees and manages the Women’s Imaging portfolio of courses and events. Miranda is passionate about women’s health education and continues to provide hands-on positioning workshops as well as teaches several MTMI programs such as Initial Mammography Training, Conquering MQSA and ACR, and many more CEU webinars.
Credits
Accredited training programs
ASRT Category A
This program provides 2.25 hour(s) of Category A continuing education credit for radiologic technologists approved by ASRT and recognized by the ARRT® and various licensure states. Category A credit is also recognized for CE credit in Canada. You must attend the entire program to receive your certificate of completion.
Biennium CE Credits: 2.25 Structured Education/CQR Credits: 2.25Tuition

| Audience | Price | Early Price | Member Price | Member Early Price |
|---|---|---|---|---|
| Technologist | $49.75 | $47.25 | $44.75 | $42.50 |
Early Pricing Guidelines
Qualifying 'Early' registrations must be made at least 4 days in advance for the program.
Cancellation Policy
Webinars less than 8 hours of credit
Refunds, minus a $15 processing fee, will be granted for cancellations received at least 3 days prior to the program. Cancellations received within 3 days of the webinar will receive a credit toward a future MTMI program, minus the $15 processing fee. No refunds will be made after the webinar starts. MTMI reserves the right to cancel any scheduled program because of low advance registration or other reasons. MTMI’s liability is limited to a refund of any program tuition paid. WEBINAR ATTENDEES that cannot log in due to unsolvable technical issues beyond their control will be eligible for a full refund.